From Jumbuck Station
      From Jumbuck Station

17.05.2025

Meine Hündinnen und ihr Hang zum Speziellen. Da sind wir doch genau 2 Wochen vor unseren Tainingsferien/Urlaub in der Normandie zum Decken aufgebrochen und dann kam alles anders als geplant. 

Nach 3 Tagen bei dem ursprünglich geplanten Rüden, gab es immer noch keine Vereinigung zwischen den Beiden. Das kam mir dann doch spanisch vor und so bin ich mit Mango in eine Tierklinik gefahren um ihren Progesteronwert zu ermitteln. Der Test bestätigte mein Gefühl, dass sie bereits ihren Eisprung hatte und kurz vorm Ende ihrer fruchtbaren Zeit steht. Nun musste eine schnelle Entscheidung her. Wir sind dann kurzerhand zu Thanos in die Eifel gereist. Dieser tolle Rüde stand auch schon länger auf meiner Deckrüdenliste. Thanos hat Mango dann am 21.7. ratz fatz gedeckt. Es war eine kurze aber heiße Liebschaft, die hoffentlich noch Früchte getragen hat. Also ganz ganz fest die Daumen drücken!

1000 Dank auch nochmal an Raphaela Hoffmann vom Dartbrook Kennel, die mir ihren Thanos so kurzfristig zur Verfügung gestellt hat.

Nach der ganzen Aufregung sind wir dann direkt in die Normandie aufgebrochen. Wie sehr ich doch die Flexibilität mit meinen Bus liebe! 

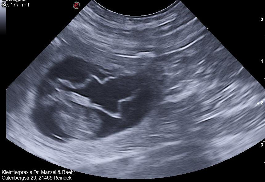
17.06.2025

Heute war ich mit Mango zum Ultraschall bei meinem Haustierarzt und ich könnte platzen vor Freude! Mango bekommt Welpen. Mein Tierarzt hat 5 Früchte gezählt. Ich hatte es ja schon vermutet. Sie ist seit der Rückkehr aus unserem Urlaub extrem kuschelig, hat irgendwie so einen sanften Blick, ist sehr ruhig und ist ständig auf der Suche nach etwas Essbarem. Fanta hatte es eigentlich auch schon gepetzt. Sie schüffelte plötzlich immer wieder an Mangos Intimteil.

07.07.2025

Mangos süßer Babybauch! Noch 2,5 Wochen bis zum Geburtstermin. Sie ist ganz schön rund und hat schon gut zulegt. Wieviele es wohl werden? 5?, oder vielleicht doch mehr? Mango ist gut drauf, geht fröhlich mit Gassi, nur inzwischen etwas gemächlicher. Jetzt kann man auch schon die Welpenbewegungen ertasten. Immer ein wundervolles Gefühl! 

20.07.2025

Heute war es endlich soweit und Mango hat ihre Welpen einfach mal eben so auf die Welt gebracht. Es sind 3 Rüden (2 blau + 1 rot) und 3 Hündinnen (2 blau + 1 rot). Fast alle haben Doppelmasken und ganz spezielle Zeichnungen. 

Aber nun von Anfang an. Heute Nachmittag um 15 h hatte Mango den klassischen Temperaturabfall um 1 Grad, der eine Geburt in den nächsten 24 Stunden ankündigt. Ich habe mich also schon mal seelisch auf eine lange Nacht und eine Geburt am nächten Morgen vorbereitet, weil es bei meinen Hündinnen immer so war. Der Nachmittag verlief auch recht ruhig. Mango hechelte ab und zu leicht und wollte 1, 2 x draußen in ihrer Wurfhöhle graben. Ansonsten döste sie neben mir auf dem Sofa. Um 19 h hechelte sie plötzlich stärker, begann etwas später völlig unerwartet stark zu pressen und dann wurde auch schon der erste Welpe, der Rüde mit der Sonderlackierung geboren. Danach ging es Schlag auf Schlag weiter. Immer abwechselnd ein Rüde und dann ein Mädchen und das Pärchen jeweils farblich sortiert. Schon witzig, was sich die Natur so ausdenkt. Kurz vor 23 h waren alle auf der Welt und ich baff und oberglücklich! Es war jetzt auch nicht schlimm, dass sie den üblichen nervigen Teil mit stundenlangem ständigen Raus- und Reinrennen einfach übersprungen hatte. 

22.07.2025

Wie bei ihrem ersten Wurf ist Mango eine wunderbare Mutter. Sie ist immer an der Seite ihrer Kleinen, um Wärme und Geborgenheit zu spenden. Ihre Milchbar ist prall gefüllt und Babys haben gut zugenommen. Nach jeder Mahlzeit werden sie ausführlich geputzt, damit sie wieder seelig schlummern und wachsen können. Ich sitze stundenlang vor der Wurfkiste, weil es einfach so schööön ist!

24.07.2025

Weil ich es liebe, alle Phasen der Entwicklung der Babys im Bild festzuhalten, haben wir ein erstes Fotoshooting abgehalten. Es gibt 2 Bilder von jedem Welpen und natürlich Bilder mit Mama-Mango, die das ganze Treiben mit Adleraugen überwacht hat.

27. 07 2025

 Meine Zuchtwartin hat uns heute besucht, um die Wurferstabnahme durchzuführen. Gerade noch innerhalb der vorgeschriebenen ersten 10 Tage. Sie ist nämlich gestern erst aus ihrem Urlaub zurückgekehrt und dann gleich zu mir geeilt. Aber zu so niedlichen kleinen Cattle Dog eilt man ja gern. Sie war auch restlos begeistert von den kleinen Speckmaden und der lieben Mango.

29.07.2025

Mit Vollgas sind die Schnullerbande in ihre 2. Woche gestartet. Sie trinken, schlafen und wachsen und wachsen. Alle haben ihr Geburtsgewicht mehr als verdoppelt. Beim Trinken stämmen sie sich mit ihren kleinen Beinchen kräftig ab und recken ihre kleinen Ruten wie Antennen angestrengt in die Höhe. Es wird auch schon mächtig gedrängelt, um die besten Plätze an der Milchbar zu ergattern. Sie robben auch schon sehr fix durch die Wurfkiste und kuscheln jetzt gern mit einem Geschwisterchen oder legen ihren Kopf gern erhöht auf den Kuschelkissen ab. Inzwischen wird auch schon mal lauter geqietscht, wenn ihnen etwas nicht passt oder Mango ganz schnell kommen soll. 

01.08.2025

Und wieder ist ein kleines Wunder geschehen. Der Rüde mit den Körperflecken hat als erstes seine Äuglein geöffnet. 

03.08.2025

Heute mit genau 2 Wochen haben jetzt Alle die Augen vollständig geöffnet. Zeitgleich versuchen sie immer weiter ihre motorischen Fähigkeiten zu steigern. Sie können jetzt ihren Körper einmal um die eigene Achse rollen, mit der Mischung aus robben und laufen sind sie schon sehr fix in der Wurfkiste unterwegs, vor allem wenn's in Richtung Milchbar geht. Und aus dem lieblichen Quietschen kleiner Welpen wird jetzt schon mal ein lautes Protestschreien, wenn ihnen etwas nicht passt. Z.Bsp. wenn Mango ihrer Meinnung nach, sie zu viel putzt oder zu früh die Wurfkiste verlässt. Das hat sich nämlich auch geändert. Die Abstände zwischen den Mahlzeiten sind größer geworden und Mango schläft jetzt lieber außerhalb der Kiste. Sie geht auch gern wieder mit Fanta und mir größere Runden gassi. Herrchen hat dann die Aufsicht und das Schlafbedürfnis ist ja auch noch riesig. So viel wachsen ist halt anstrengend!

07.08.205

Nun gehts rund in der Wurfkiste. Noch schwankend, wie nach ein paar Gläschen zuviel, laufen die kleinen Wonneproppen jetzt durch die Wurfkiste und trudeln dann wieder übereinander. Es ist zu entzückend sie dabei zu beobachten. Sie nehmen auch ganz bewusst Kontakt zueinander auf und schlecken sich gegenseitig am Milchmäulchen oder testen mal wie so ein Beinchen vom Geschwisterchen schmeckt. Heute waren die Süßen auch das erste Mal an der frischen Luft, da es draußen schön kuschelig warm war. Sie wuselten ganz schön wild durcheinander, weil alles so unbekannt roch und plötzlich die Wände der Wurfkiste fehlten. Eine Stärkung bei Mango war Zwischendurch bitter nötig. Und danach haben sie stundenlang komatös geschlafen. 

09.08.2025

Die Entwicklung der kleinen Racker schreitet in schnellen Schritten voran. Sie beschäftigen sich jetzt intensiv miteinander. Versuchen total putzig miteinander zu spielen oder zu raufen. Dabei wird jetzt auch gebellt und geknurrt. Spielzeuge werden auch interessanter. Da kann man so schön draufbeißen, weil die Zähnchen drücken. Bald gibt es feste Nahrung!

10.08.2025

Heute mit 3 Wochen haben wir ein schönes Einzel-Fotoshooting gemacht. Und ich kann stolz ihre Namen verkünden. Gemäß der Tradition habe ich die Rufnamen in Zusammenartbeit mit den zukünftigen Besitzern in die Zuchtnamen eingearbeitet. So haben die Namen nochmal eine besondere Bedeutung. 

Kingsman Hades

King Kayce

Kuno the Cheeky Metalhead

Kiss of Skadi

Kingly Fritzi Aurora B.

Kooky Nut (Nuts)

13.08.2025

Vor 2 Tagen haben wir die Wurfkiste abgebaut und die kleinen Stöpsel sind in einen kleinen Welpenauslauf umgezogen, damit sie mehr Platz zum Laufen und spielen haben. Außerdem soll ja auch ihr Erkundungsdrang gefördert werden. Deshalb wurde der kleine Auslauf jeden Tag ein Stückchen größer. Die Abenteurer haben nicht nur schon Indoor-Auflüge unternommen, sondern erkunden auch Stück für Stück die Terrasse und rücken langsam auf den Rasen vor. Es ist so herrlich sie dabei zu beoachten. Dann ist plötzlich der Akku alle und der ganz Trupp zieht sich schnell in die sichere "Höhle" zurück, um ihre Erlebnisse im Schlaf zu verarbeiten. Vorher genehmigen sie sich aber noch schnell einen guten Schluck Milch bei Mango. Dann schlummern sie seelig in den ulkigsten Positionen.

15.08.2025

Die Bande wächst und wächst. Ihre Zähnchen sind durchgebrochen und es wird Zeit, mal feste Nahrung zu probieren. Drum gab es heute für jedes Hundekind etwas Tatar. Interessiert an dem neuen Zeug waren sie sofort, aber wie essen? Saugen? Lecken? Nein, innerhalb von Sekunden hatten alle verstanden, dass man da reinbeißen muss! Als Nachtisch gab es aber trotzdem noch einen Schluck Mango-Milch!

18.08.2025

Die 4. Woche ist gestartet. Die kleinen Wonneproppen sind so lustig und wirklich cool drauf. Der Garten wird mutig immer weiter erkundet. Da ich aufgrund des Regens länger kein Rasen mähen konnte, hatten die Stöpsel etwas Dschungel Atmosphäre beim Spielen. Falls jemand die Fanti-Oma vermisst, sie würde auch so gern mit den Welpen spielen, aber sie hütet seit ein paar Tagen das Krankenlalger mit einem Blutohr. Die Quittungs dafür, dass sie sich so lustig ein Spielzeug um die Ohren geschlagen hat.

19.08.2025

Yummi yummi! Inzwischen futtern die kleinen Räuber 3 Barf-Mahlzeiten plus Mango-Milch. Sie sind einfach unersättlich und sie finden es unglaublich lecker. Heute gabs einen Hühner-Rind-Mix mit Zucchini. Am Futterring wird es nun auch eng, drum bekommt ab morgen jeder seinen eigenen Napf. 

20.08.2025

Die Fellfärbung beim Cattle Dog ist immer wieder faszinierend. Nicht nur, dass sie weiß geboren werden und dann im Laufe der Wochen immer mehr durchfärben, sondern auch die Vielfätigkeit ihrer Farben von red/blue zu red/blue speckle und red/blue mottle in allen erdenklichen Abstufungen. Dieser Wurf ist bisher mein "Buntester" überhaupt und ich bin total verliebt!

22.08.2025

So, heute haben wir wieder ein kleines Fotoshooting von den Süßlingen gemacht. In meinem Garten am Wald immer nicht so leicht. Entweder Schatten wegen der Bäume oder grelle Sonne, aber hilft ja nichts, ist wie's ist! Wenn sie so flitzen, kann man schon erahnen, wie sie mal mit Stehöhrchen aussehen.

25.08.2025

Es ist kaum zu glauben, dass die lustige Bande gestern 5 Wochen alt geworden ist. Alle Welpen wurden von ihren zukünftigen Besitzern bereits mehrfach besucht. Und alle sind genau wie ich total verliebt in die kleinen Knödel. Obwohl, jetzt sind eigentlich kleine Raptoren mit ihren spitzen Zähnchen. Wenn sie schlafen sind sie zuckersüß und wenn sie wach sind, dann sind sie wild, voller Energie und Erkundungsdrang, aber auch anschiegsam und kuschelig!

27.08.2025

Die süße Welpenbande! Für die mutigen Abenteurer gibt es kein Halten mehr. Spielen, rennen, raufen und nebenbei das kleine Hunde 1x1 lernen. Mom Mango hat immer alle immer ganz genau im Blick, immer bereit einzugreifen, falls sich ein kleiner Stöpsel sich ungehörig benimmt. 

29.08.2025

Alle einsteigen, bitte! Unter dem Motto sind die Lütten zu ihrer ersten Autofahrt aufgebrochen. Angekuschelt an Mango, haben sie das wirklich hervorragend gemeistert. Die ersten Meter wurde noch etwas aufgeregt gefiept, aber dann sind sie in Kürze der Reihe nach seelig eingeschlummert. So eine entspannte erste Autofahrt. Was für tolle Racker! Dann können wir jetzt kleine Ausflüge unternehmen.

01.09.2025

Heute war es nun soweit, der erste Ausflug in die Feldmark. Das Verladen in die Autobox und die Fahrt wurden souverän gemeistert. Begleitet hat uns mein Mann, da es ja nie so einfach ist, alle mutigen Entdecker gleichzeitig unter Kontrolle zu halten. Das hat sich heute auch als glückliche Entscheidung herausgestellt. An meinem ausgewählten Weg lag dummerweise auf der einen Seite ein Maisfeld, aber dazwischen noch ein kleiner trockener Graben, also keine Gefahr dachte ich. Es ging auch super los. Alle entsprechend aufgeregt, von den Gerüchen und den kleinen Dingen die es zu erkunden gab. Wir waren dann schon wieder auf dem Rückweg, als Fritzi und Hades plötzlich in einem Affenzahn kurzerhand durch den Graben ins Maisfeld abgebogen sind! Herzstillstand! Mein Mann hat Mango und den Rest der Truppe gesichert und ich habe mich ebenfalls ins Maisfeld geworfen. Zum Glück roch es da wohl recht gut, sodass ich die Aussreißer schnell eingeholt und festgesetzt hatte. Puh, das war gerade nochmal gut gegangen! Wieder zuhause angekommen, brauchten wir alle erstmal ein ordentliches 2. Frühstück.

05.09.2025

Die Tage vergehen wie im Fluge und die lustigen Gesellen lernen jeden Tage tolle neue Dinge. Einer unserer Ausflüge hat uns heute auf meine Schafweide geführt. Meine schüchternen Skudden wurden kurz beobachtet und dann waren sie auch schon langweilig. Quatsch machen und über die Wiese flitzen ist ja auch viel viel lustiger! Ohne den Zaun dazwischen hätte die Sache sicher anders ausgesehen. 

07.09.2025

Nun ist die Bande heute schon 7 Wochen alt geworden. Ich kann es gar nicht glauben und mag gar nicht daran denken, dass sie schon bald ausziehen werden. Sie üben sich zZt. extrem in hündischer Kommunikation. Sind viel am Raufen, Ausprobieren und Austesten. Das ist nicht immer in Mangos Sinne und sie nimmt ihren Erziehungsauftrag sehr ernst. Die nicht abgesperrten Bereiche in meinem Garten haben schon etwas gelitten unter den jungen Wilden. Aber was solls, sie sollen sich ja ausprobieren. Außerdem ist es zu lustig sie bei ihren Aktionen zu beobachten. 

10.09.2025

So, noch schnell das Wetter genutzt und ein paar Bilder geschossen. Sie sind ja soooooo unglaublich witzig, wenn sie miteinander spielen, raufen und diskutieren!

12.09.2025

Heute war ein ganz wichtiger Termin für die Rockerbande. Der Audiometrietest stand an. Dafür ist wie immer mein Tierarzt Dr. Heere aus Reinbek pünktlich um 9.00 h mit seinem Equipment bei mir angerückt. Fix war alles aufgebaut und dann plötzlich ein Problem beim Öffnen des benötigten Programms auf dem Laptop. Bei meinem Tierarzt machten sich leichte Schweißperlen auf der Stirn breit. Zum Glück hatte ich aber einen Joker parat. Schnell die Freundin meines Sohnes gerufen, die bei uns mit im Haus wohnt und in Homeoffice arbeitet. Lea hatte die richtige Idee zur Problemlösung und nun konnten wir starten. Die Zwerge, die wegen der leichten Sedierung ja nüchtern sein mussten, hatten zum Glück ganz brav gewartet, trotz knurrendem Magen. Dann ging alles flott seinen Gang. Eine kurze Untersuchung, etwas Sedierung, Chip in den Hund und für den Hörtest verkabelt. Und das Ergebnis wie schon von mir erwartet: Alle Welpen sind zweifelsfrei beidseitig hören! Year!

13.09.2025

Oh, wie aufregend. Das erste Mal unterwegs an der Leine. Ungewohnt für die Freigeister, aber sie haben sich doch sehr schnell an die Einschränkung gewöhnt. Die ersten Autos haben sie lieber noch auf dem Arm begutachtet, später auch auf dem Gehweg eng an den enschen gekuschelt. Der Waldteil unserer Mini-Gassirunde war natürlich viel toller, obwohl plötzlich ein riesiger brauner Bär auftauchte. Der war aber dann doch ganz nett und war gar kein Bär, sondern ein Labbi namens Bobby.

17.09 2025

Und noch ein offizieller Termin. Die Truppe war heute zum Impfen bei meinem Haustierarzt Manzel & Bähr in Reinbek. was soll ich sagen, sie waren soooo brav. Haben sich ganz artig untersuchen lassen und fanden den Tierarzt super nett. Dank der guten Kekse haben sie den kleinen Pieks auch gar nicht bemerkt. 

18.09.2025

Endspurt! Heute fand die Wurfendabnahme statt. Meine Zuchtwartin war hellauf begeistert von den rackern. Sie waren genauso wie Welpen in diesen Alter sein sollen. Offen, selbstbewusst und bestens entwickelt. Dann wurde jeder Einzelne genau unter die Lupe genommen. Alle Welpen haben ein vollständiges Scherengebiss, keine Fehler und bei den Rüden sind jeweils beide Hüden abgestiegen. Ich freue mich sehr über dieses perfekte Ergebnis.

Außerdem haben wir von jedem Kind ein Standfoto gemacht. In diesem Alter bildet der Körperbau des Welpen quasi den des erwachsenen Hundes ab. Mir gefällt sehr war ich sehe und bin gespannt auf die Vergleichsbilder, wenn sie 2-3 Jahre alt sind.

30.10.2025

Alle Welpen sind nun in ihre neuen Familien ausgezogen.

Druckversion | Sitemap
© Katrin Dreves 2014