From Jumbuck Station
      From Jumbuck Station

16.-18.04.2024

Das war jetzt ja mal praktisch! Da hatte ich doch ein Frisbee-Seminar gebucht, dass nur 30 Min. vom Wohnort meines ausgwählten Deckrüden Skadi entfernt stattfand und Mango war kurz vor den Stehtagen. Also nach dem Seminar kurzerhand noch 2 Wandertage mit meiner Freundin drangehängt, Fanta zu ihrem Entsetzen mit meiner Freundin nach Hause geschickt und Mango und ich haben Skadi besucht. Das Früchtchen und Skadi haben sich wahnsinnig gefreut sich wiederzusehen und haben geflirtet was das Zeug hält. Am ersten Tag hat Mango sich noch geziert, aber dann haben die Beiden am 17.+18. den Reigen der Liebenden getanzt. Nun heißt es kräftig die Daumen drücken für viele kleine Welpis!

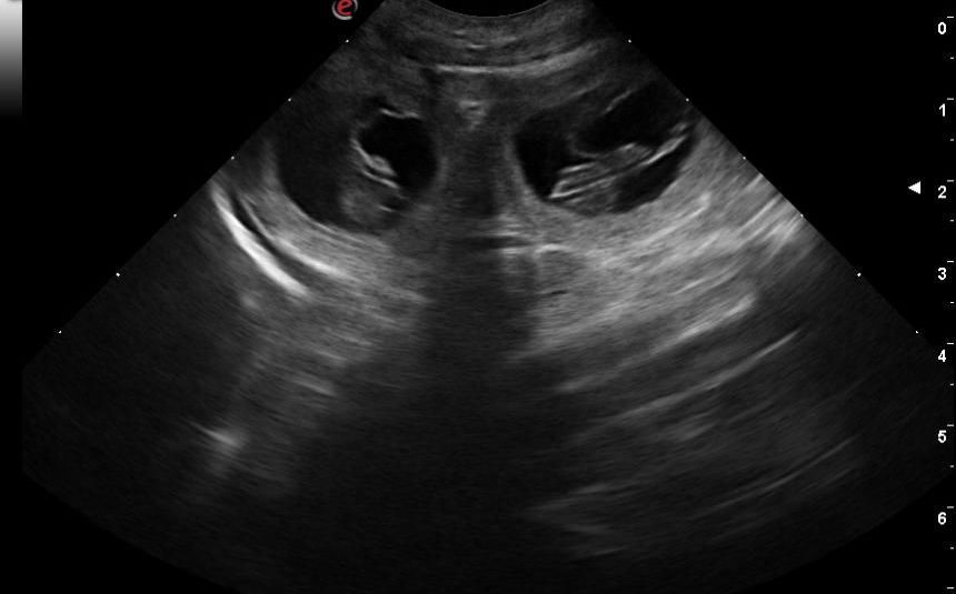
15.05.2024

Heute waren wir beim Ultraschall in der Tierarztpraxis meines Vertrauens. Und Juchuuu, es hat sich bestätigt, was ich schon vermutet habe. Wir erwarten mindestens 5 Welpen! Mangos extreme Anschmiegsamkeit, ihre Morgenübelkeit an machen Tagen und ihre ständige Müdigkeit waren schon sehr deutliche Anzeichen. Wir sind so happy und hoffen auf eine leichte Geburt!

04.06.2024

Was soll ich sagen. Die kleine Mango ist so eine entspannte "Schwangere"! Ihre absolute Lieblingsbeschäftigung ist schlafen und nochmals schlafen und danach fressen. Am Liebsten voll ausgestreckt in unserem Bett oder ganz eng an Fanta gekuschelt. Inzwischen ist ihr Babybauch kugelrund und man kann gut die Welpenbewegungen spüren. Ein wunderbares Gefühl! Inzwischen arbeitet sie auch schon fleißig am Ausbau der Outdoor Wurfhöhle, die seit meinem ersten Wurf ständig vergrößert wird. Erst war es nur eine Mulde unterm Busch, inzwischen ist es eine richtige Höhle unter den Fundamentausläufern unseres Hauses, in der Mango komplett verschwinden kann!

16./17.06.2024

Und aufeinmal sind sie schon da! Etwas eher als erwartet, aber eine Houdini-Mango ist eben immer für eine Überraschung gut! Bereits abends am 15. war Mango sehr unruhig, hechelte zeitweise und wollte ständig raus, um in ihrer Outdoorhöhle zu graben. So hat sie mich die ganze Nacht auf Trapp gehalten. Am nächsten Morgen hatte sie den typischen Temperaturabfall, der eine Geburt in den nächsten 24 Std anzeigt. So zog sich der Tag und auch die Nacht mit der Eröffnungsphase hin. Gegen 4 h startete sie dann mit der Austreibungsphase und kurz darauf wurde auch schon der erste Welpe geboren. Leider war es ein Sternenkind. Lange Zeit zu trauern blieb aber nicht, da schon der nächste Welpe auf die Welt drängte. Innerhalb von nicht ganz 3 Std. hat meine Mango ihre Welpen ohne Komplikationen und sehr instinktsicher zur Welt gebracht. Es sind 3 Rüden in rot und blau und 2 rote Hündinnen mit Geburtsgewichten von 295 - 350 g. Ein sehr schön gleichmäßiger Wurf. Mango ist eine sehr stolze Mama und kümmert sich äußerst liebevoll um ihre Babys. 

18.06.2024

Kaum auf der Welt und schon Temine! Es stand die Wurferstabnahme durch meine neue Zuchtwartin auf dem Progamm. Sie war schwer begeistert von Mango und ihrem Nachwuchs, Oma Fanta und von allem Anderen im Allgemeinen. 

24.06.2024

Nun sind die Kleinen schon 1 Woche alt. Sie entwickeln sich prächtig. Alle haben ihr Geburtsgewicht mehr als verdoppelt und man sieht täglich, wie sie runder und kräftiger werden. Mango ist immer an ihrer Seite, um sofort all ihre Bedüfnisse zu befriedigen. Sie werden bei Bedarf ausgiebig geputzt und die gut gefüllte Milchbar steht ihnen 24/7 zur Verfügung oder es wird einfach nur gekuschelt.

Heute haben wir auch endlich das erste Fotoshooting mit Einzelbildern realisiert. Wie immer sind es viel zu viele Bilder geworden und die Auswahl der aller oberniedlichsten ist mir unendlich schwer gefallen. Schade, dass man den Babyduft nicht mit den Bildern transportieren kann!!!

27.06.2024

Die süßen Zuckerschnuten haben in den letzen Tagen sehr an ihren motorischen Fähigkeiten gearbeitet. Das Köpfchen wird bewusst gehoben und gehalten, sie können sich auf den Rücken drehen und schlafen auch so. Und was am Coolsten ist, sie schaffen es jetzt ihren Körper mit den kleinen Stumpenbeinchen hochzudrücken und versuchen zu laufen. Dann kullern sie zur Seite. Das ist so putzig anzusehen! Mit den Geschwistern gibt es jetzt auch erste Interaktionen. Nach den "ganzen" Aktivitäten fallen sie wieder für Stunden ins Schlafkoma, gern mit einem Geschwisterchen als Kopfkissen. 

28.06.2024

Ein neuer kleiner Meilenstein im Leben der Welpen! Heute hat als ersts die Hündin mit der großen Doppelmaske ihre Augen geöffnet. Bis sie richtig gut sehen können wird es noch etwas dauen, aber dann tauchen sie in eine ganz neue Welt. 

Der blaue und der Doppelmasken Rüde haben heute als erstes die 1.000 g Marke geknackt. Die Anderen sind ihnen aber auf den Fersen. Es ist so schön, wenn alles reibungslos nach Plan verläuft. Ich bin sowieso total begeistert von den Kleinen. Es ist ein so gechillter Wurf. Das hatte ich auch schon anders. Da wurde immer lautstark gemeckert und protestiert. 

29.06.2024

Weil sie einfach soooo niedlich sind, habe ich heute noch ein spontanes kleines Foto-Shooting draußen im Körbchen eingeschoben. Bei molligen 28 Grad im Schatten war es mehr als warm genug für die Süßlinge.

05.07.2024

Im Laufe der 2. Wochen sind schon wieder so viele tolle Dinge passiert. Der erste Welpe hat mich angwedelt, das Laufen wurde perfektioniert, die Absperrung am Eingang der Wurfkiste musste erhöht werden, da es einen Ausbruchversuch gab, man kann jetzt auch niedlich sitzen, es wird alles mit dem Mäulchen erkundet, miteinander rangeln und dabei knurren und sowas ähnliches wie Bellen wird versucht und insgesamt geht es in den wachen Minuten schon ganz schön rund in der Wurfkiste. Die Intervalle beim Säugen sind länger geworden. Mango schläft jetzt meistens vor der Kiste und geht wieder ganz normal mit uns Gassi. Wenn sie dann zurück kommt stürzt die ganze Mannschaft an die Milchbar. Jeder will der Erste sein und die beste Zitze haben. Dann wird gedrückt und geschoben, dass man machmal die rote Karte geben möchte. Sie sind auch wahre Fressmonster! Drei Welpen haben von gestern auf heute unglaubliche 115-135 g zugenommen. Solche Zunahmen von über 100 g hatte ich bisher noch in keinem Wurf!

07.07.2024

Heute mit fast 3 Wochen waren draußen ideale Bedingungen für ein neues Fotoshooting mit Einzelbildern. von jedem Welpen gibt es 4 Bilder und natürlich auch Bilder mit Super-Mom Mango und 2 Geschwister-Gruppenbilder. Sie waren so artig und haben so brav gesessen.

09.07.2024

Gestern sind die Welpen genau 3 Wochen alt geworden. Die Bande wird immer mobiler und unternehmungslustiger. Die Tage hatten die Lütten schon die Luft vor der Wurfkiste geschnuppert und nun haben wir die Kiste zugunsten eines Welpengeheges mit viel mehr Platz zum Laufen und Spielen abgebaut. Außerdem sind bei allen Lütten die Zähne durchgebrochen. Und die Erste total ekelige Wurmkur gab es auch. Es waren heute auch wieder Welpenkäufer zu Besuch und sie waren ganz verzückt von den herzigen Gesellen. Damit haben bereits alle ihr zukünftiges Fellkind besucht. 

12.07.2024

Nur drinnen sein war gestern! Ab sofort erobern die kleinen Rocker auch die Außenwelt. Alle sind sehr mutig über die große Schwelle der Terrassentür gekrabbelt. Alles wurde neugierig beschnuppert während die Truppe vorsichtig ausgeschwärmt ist. Unterstützung gabs natürlich von Mango und Oma Fanta, die auch ganz verliebt in die Mini-Mangos ist. Die ersten Geschäfte wurden auch schon gleich erledigt, yes! Tolle Kids! 

15.07.2024

Die Rasselbande ist jetzt 4 Wochen alt. Ab sofort gibt es für alle immer mehr Barf und somit auch automatisch weniger Muttermilch. Allen schmeckt es hervorragend. Alle 5 futtern auch sehr manierlich und einträchtig am Futtering. Halsbänder haben wir auch schon mal getestet. Wie immer haben die erstmal ganz schön gejuckt.

18.07.2024

Nun ist es passiert! Die wilden Wonneproppen haben nicht nur die Terrasse erobert, sondern auch meine Wohnküche und den Garten. Es ist so herrlich sie bei ihren mutigen Entdeckungstouren zu beobachten. Alles ist so interessant, riecht so gut und wird muss angenagt werden. Gleichzeitig werden die Spiele mit den den Geschwistern immer rauer und vor allem auch lauter. Auch mit Mutti und Oma wird gerangelt.

21.07.2024

Das Wochenende ist eher ruhig verlaufen. Wir hatten zwar Besuch, aber für wilde Aktivitäten war es einfach zu heiß (33 Grad) und schwül. Tagsüber lag die Gang flach wie Flundern schlafend auf den kühlen Fliesen im Haus oder igendwo im Schatten. Der eilig aufgebaute Pool konnte auch nur kurz begeistern. Am Abend gabs zum Glück Regen und es kühlte etwas ab. Jetzt um 23.42 h muss ich die kleinen Outdoorschläfer mal reinholen. Nicht weil es zu kalt ist, sind ja immer noch 21 Grad, aber wer weiss welche Tiere nachts durch meinen Garten schleichen!

24.07.2024

Heute war ein echter Erlebnistag für die Racker. Zuerst 2x Feueralarm: beim ersten Mal wars noch etwas gruselig, beim zweiten Mal schon gaaanz langweilig. Dann stand die erste Autofahrt ihres Lebens auf dem Programm. Uuuuuhi, das war echt aufregend und die Lütten waren anfangs ganz schön laut, aber zum Ende der kurzen Tour gings immer besser. Mango hat ja auch vorgemacht, dass das völlig unspektakulär ist. Am Abend ist dann noch ein ziemlich lautes orangenes Monster durch den Garten gerollt. Mama und Oma mussten ins Haus, da sie angeblich ein schlechtes Vorbild sind. Nun ja, wir die kleinen Supertypen, haben uns jedenfalls sehr mutig dem Monster gestellt. Es hat ja auch nur Gras gefressen und keine kleinen Hunde!

26.07.2024

Die Zeit vergeht wie im Fluge, Besucher kommen und gehen und die Lütten entwickeln sich hervorragend. Mango macht als Mama einen tollen Job und ist immer zur Stelle, wenn sich Zwei streiten oder um den Kids spielerisch das kleine 1 x 1 der hündischen Kommunikation zu erläutern. Die Bande hat jede Menge Spaß beim Rennen durch die Tunnel, genießt den Ausguck von der A-Wand, verteilt diverse Spielzeuge im Garten und übt sich im Löcher graben, bevor sie sich wieder irgendwo zusammen rollen und engelsgleich schlafen. 

27.07.2024

So, nun stehen auch ihre Ruf- und Zwingernamen fest. Der Tradition ensprechend, wieder eine kreative Gemeinschaftsarbeit zwischen den zukünftigen Besitzern und mir. So hat jeder Name auch noch eine weitergehende Bedeutung / Geschichte.

Jackaroo Rib

Jaxx the Best Buddy

Juba the King

Joyful Bindi

Jolly Roger Pirate Girl

29.07.2024

Oh la la, was für kleine Bomber! Das Wiegen hat ergeben, dass Rib nur noch wenige Gramm zu der 4 kg Marke fehlen. Die Anderen sind ihm dicht auf den Fersen. Einzig das Prinzesschen Bindi ist im Vergleich mit ihren 2.720 g ein echtes Leichtgewicht. An Power, Mut und Durchsetzungsvermögen, steht sie aber ihren Geschwistern in nichts nach. 

31.07.2024

Heute haben wieder einen Ausflug mit dem Auto gemacht. Fahren klappt inzwischen geradezu perfekt. An unbekannten Orten auszusteigen, war von Anfang an völlig unspekakulär. Sofort schwärmt die Truppe aus und erkundet die Umgebung. Mango ist extrem aufmerksam und scannt ständig die Umgebung und ist allzeit bereit eventuelle Gefahren abzuwehren. Omi Fanta ist da deutlich entspannter. Leider gibt es fast keine Fotos. Aber diese grelle Sonne und die Schattenspiele haben es mir wirklich nicht leicht gemacht. Ich war mit der Qualität sehr unzufrieden. Und bei den hohen Temperaturen sind die Süßen auch schnell erschöpft. Ohne Wasser geht gar nichts! Da gab es ordentlich Gedränge am Wassernapf beim Auto.

03.08.2024

Puh, schon wieder so heiß! Die richtig aktiven Phasen haben die Welpen idR in den frühren Morgenstunden oder abends, wenn die Sonne untergegangen ist. Die heißeste Zeit wird entspannt an einem schattigen Plätzchen oder im Haus verschlafen. Um so mehr hatte ich mich heute morgen über die leichte Wolkendecke gefreut. Also alle Mann geschwind ins Auto verladen und zu meiner Special Fotolocation dem Kieswerk gefahren. Kaum angekommen, brach aber die Sonne durch und es wurde total warm. So wurde auch das leider wieder ein sehr sehr kurzer, aber schöner Ausflug.

07.08.2024

Zusätzlich zu unseren Freilaufausflügen an verschiedene Orte, haben jetzt mal das Laufen an der Leine geübt. Dabei haben sich alle auf Anhieb sehr talentiert gezeigt. Sie sind brav neben mir die Auffahrt bis zur Straße hoch gelaufen. Dort waren sie dann erstmal schwer beeindruckt von diesen lauten rollenden Blechmonstern. Aber das wird beim nächstem Mal schon anders aussehen.

08.08.2024

Als offizieller Termin, stand heute für die Racker der Audiometrie Test an. Da die Kleinen dafür leicht sediert werden, wurde sehr zum Unmut der Bande kein Frühstück serviert. Die Mango-Bar war auch geschlossen und in den Garten durften sie auch nicht, wie gemein. Punkt 9.00 h stand aber schon Dr. Heere aus Reinbek vor meiner Haustür und dann gings auch gleich los. Es sieht ja immer etwas fies aus, wenn die Kleinen mit den 3 Elektroden im Kopf, Kabeln und Kopfhörern an den Ohren bestückt werden. Aber was muss, das muss! Und das Ergebnis ist wieder ganz wunderbar. Alle Welpen sind zweifelsfrei beidseitig hörend. Vielen Dank an den Doc der, trotz Urlaub und eigentlich zu, zu uns gekommen ist. Bindis zukünftiges Frauchen war auch mit von der Partie und hat sich sehr über die Möglichkeit gefreut, das miterleben zu dürfen.

10.08.2024

Da die gemeinsame Zeit sich so langsam dem Ende zuneigt, haben wir nochmal fix einen schönen Fotoausflug gemacht. Was hatte die Bande für einen Spaß beim Rumtollen.

12.08.2024

Heute mit 8 Wochen haben wir uns wieder an den Standbildern versucht. Der Körperbau mit 8 Wochen entspricht nämlich dem des erwachsenen Hundes. Es ist also eine spannende Vorausschau wie sich der Hund entwickeln wird. Meine wilden Mini-Cattles hatten aber mal wieder nicht so viel Lust auf diese Veranstaltung. Daher muss man bei den Bildern ein paar Abstriche machen.

13.08.2024

Einfach nur toll! Wir hatten Besuch von Skadi dem Vater der Welpen. Inka hat die lange Fahrt von 5 Std. oneway auf sich genommen, um die Welpen persönlich in Augenschein zu nehmen. Es war ein so schöner Tag mit ganz viel Welpenkuscheln und tollen Gesprächen. Inka ist genau wie ich, ganz verliebt in die Zwerge. Die Verpaarung zwischen Mango und Skadi hat zu 100 % gematched. Eine Wiederholung ist angedacht. Nun sind wir aber erstmal ganz gespannt auf die weitere Entwicklung.

Am frühen Abend sind wir dann noch zu meinem Haustierarzt Manzel & Bähr in Reinbek zum Impfen gefahren. Autofahren macht die Bande ja inzwischen wie alte Hasen. In der Praxis durften sie im Behandlungsraum frei umherdüsen und haben gleich zur Belustigung aller etwas Unfug angestellt. Bei der Untersuchung auf dem Tisch und dem Impfpiks waren alle ganz cool.

14.08.2024

Die letzte Etappe ist geschafft. Wir hatten Besuch von der Zuchtwartin für die Endabnahme. Sie war total begeistert von dem ganzen Wurf, von den Aufzuchtsbedingungen und auch von Mango und Fanta. Dann wurden die Welpen auf Herz und Nieren geprüft. Ich darf mich über einen Wurf frei von äußerlichen Fehlern freuen. Alle Kids haben korrekte komplette "Raptorengebisse" und bei den Rüden sind die Hoden abgestiegen! Besser könnte es nicht sein. Ich bin sehr glücklich! Jetzt sind die Goldschätze bereit, in wenigen Tagen nach und nach, in die große weite Welt zu ziehen.

17.06.2024

Auf nach Dorsten! Als erstes haben heute Kathrin und Siggi ihren Rib abgeholt. Er wird dort Einzelprinz verwöhnt werden. Damit ihm nicht langweilig wird, soll er mit am Pferd laufen und seine Menschen auf Wanderungen in der Natur begleiten. Machs gut kleiner Held! Ich komme dich ganz bestimmt besuchen.

Und nochmal auf nach Dorsten! Zwei unabhängige Käufer aus dem selben Ort hatte ich auch noch nie, aber wie die Zufälle so sind. Juba hat sein Zuhause bei Jan und Sophia und zwei Aussikumpels gefunden. Er wird Jan als Vorzeigehund in der eigenen Hundeschule unterstützen und darf Sophia zu den Pferden begleiten. Goodbye mein Kleiner! Auch wir sehen uns wieder.

18.08.2024

Als Züchter freut man sich ja immer, wenn die Welpen nicht so weit weg ziehen. Jaxx wohnt jetzt nur ein paar Dörfer weiter in Müssen bei Sina und Enno. Dort warten noch 3 andere Hundekumpels gespannt auf seinen Einzug. Über zu wenig Action wird er sich da nicht beklagen können. Sina plant mit ihm im Agility durchzustarten und er wird sie als Trainerin in einer Hundeschule begleiten. Zum Gassi gehts dann ins eigne Revier, weil Enno auch Jäger ist, wie praktisch. Bis bald mein süßer Blauer!

19.06.2024

Heute ist Jolly in ihr neues Zuhause bei Nela und ihrer Ausshündin in ein kleines Dorf namens Luckau im schönen Wendland gezogen  Klein Jolly wird mit in der eigenen Hundeschule arbeiten und darf Reitbegleithund werden. Tschau kleines Tüpfenkind! Ich vermisse dich jetzt schon.

20.06.2024

Nun hat sich auch Bindi auf den Weg in ihr neues Heim gemacht. Weit musste sie ja nicht, denn sie bleibt hier in unserem Dorf, um das Leben von Antje und Jens und der Dackelseniorin Luzie gehörig auf den Kopf zu stellen. Außerdem erwarten sie spannende Wohnmobil-Abenteuer und lange Wanderungen im Harz. Tschüss kleine Motte! Ich freue mich schon auf viele gemeinsame Gassigänge.

Druckversion | Sitemap
© Katrin Dreves 2014